پیوند استخوان فک چیست و چگونه انجام می شود؟
در این نوشته می خوانید:
- 1 پیوند استخوان فک برای کاشت ایمپلنت چیست؟
- 2 چرا ممکن است پیوند استخوان فک نیاز باشد؟
- 3 انواع منابع استخوان برای پیوند استخوان فک
- 4 انواع پیوند استخوان
- 5 آمادگی برای پیوند استخوان
- 6 پیوند استخوان فک چگونه انجام می شود؟
- 7 مراقبت های بعد از پیوند استخوان
- 8 دوره ریکاوری بعد از پیوند استخوان فک چقدر طول می کشد؟
- 9 خطرات پیوند استخوان
- 10 علائم شکست در پیوند استخوان فک چیست؟
- 11 آیا پیوند استخوان فک درد دارد؟
- 12 پیوند استخوان فک چقدر دوام می آورد؟
- 13 چه مدت طول می کشد تا پیوند استخوان فک بهبود یابد؟
- 14 هزینه درمان پیوند استخوان چقدر است؟
پیوند استخوان فک برای کاشت ایمپلنت چیست؟
ایمپلنت های دندانی جایگزین های مصنوعی (ساخته دست بشر) برای ریشه دندان های شما هستند. ما آنها را در استخوان فک شما قرار می دهیم. آنها به پشتیبانی از موارد زیر کمک می کنند:
- اوردنچر (دندان های مصنوعی چندتایی)
- روکش (روکش های تکی روی ایمپلنت های تکی)
- بریج (ساختارهایی برای پل زدن یا پر کردن شکافی که در آن یک یا چند دندان از دست رفته اند)
اگر استفاده از دندان مصنوعی یا بریج برای شما دشوار باشد، ایمپلنت های دندانی را به شما توصیه می کنیم. ممکن است دندان یا لثه مناسبی برای پشتیبانی از آنها نداشته باشید.
گاهی اوقات بیمار به اندازه کافی استخوان لازم برای کاشت ایمپلنت دندانی ندارد و دندانپزشکان از روش پیوند استخوان فک برای تقویت آن استفاده می کنند. هنگامی که ایمپلنت های دندانی به عنوان جایگزین دندان های از دست رفته استفاده می شوند، نیاز به یک پایه قوی و محکم برای نگهداری روکش دندان دارند که پیوند استخوان فک در این مورد تأثیر گذار است. این یکی از فرایندهایی است که در هنگام استفاده از ایمپلنت برای جایگزینی دندان های از دست رفته استفاده می شود. اتفاقاً تقویت استخوان فک تأثیر بسیار مهمی در آمار موفقیت کاشت ایمپلنت دندانی داشته است. پیوند استخوان نوعی جراحی است. در این روش دندانپزشک به بررسی وضعیت استخوان فک می پردازد و با روش های جراحی می تواند شرایط استخوان فک را بهبود ببخشد. این عمل می تواند باعث تورم، کبودی و درد شود. در بیشتر موارد، پیوند استخوان را به مدت ۳ تا ۶ ماه برای بهبودی رها می کنیم تا بتوانید درمان ایمپلنت دندان خود را انجام دهید. دندانپزشک شما به شما می گوید که آیا به پیوند استخوان نیاز دارید یا خیر.
چرا ممکن است پیوند استخوان فک نیاز باشد؟

چرا ممکن است پیوند استخوان فک نیاز باشد؟
وقتی دندانی به هر دلیلی از دست می رود، استخوان فک شروع به تحلیل رفتن می کند زیرا دندانی برای تحریک رشد استخوان وجود ندارد. خوشبختانه، فناوری امروزه، پیوند استخوان را به فرآیندی یکپارچه برای جراحان دهان و دندان تبدیل کرده است تا رشد مجدد استخوان فک را تحریک کنند، بنابراین بیماران می توانند سال های آینده از لبخند خود لذت ببرند. در اینجا چندین دلیل وجود دارند که چرا افراد ممکن است برای اهداف زیبایی و عملکردی به پیوند استخوان نیاز داشته باشند.
دندان از دست رفته
مهم نیست که دندانی به دلیل کشیدن یا به دلیل افتادن تصادفی از دست رفته باشد، پیوند استخوان احتمالاً مورد نیاز است. با گذشت زمان، اگر استخوان فک دندانی برای پشتیبانی نداشته باشد، به آرامی تحلیل می رود و دریافت ایمپلنت دندان را دشوار می کند. پیوند استخوان می تواند هم استخوان فک را ترمیم و هم از تحلیل رفتن آن جلوگیری کند تا ناحیه ای را که دندان از دست رفته در آن قرار دارد تقویت کند و در مورد جایگزینی دندان، گزینه های بیشتری به بیماران ارائه دهد.
بیماری پریودنتال
بیماری پریودنتال که به عنوان بیماری لثه نیز شناخته می شود، می تواند استخوان فک را تضعیف کرده و باعث لق شدن دندان ها شود. خبر خوب این است که بیماری پریودنتال قابل درمان یا معکوس شدن است و پیوند استخوان برای بازگرداندن پایه دندان های قوی در دسترس است. وقتی دندانی لق می شود، یکی از اولین مواردی که بیمار معمولاً در نظر می گیرد، ایمپلنت دندان است. با این حال، اگر بیمار مدت زمان طولانی به بیماری پریودنتال مبتلا بوده باشد، ممکن است پیوند استخوان برای تقویت استخوان جهت پشتیبانی از ایمپلنت ها ضروری باشد.
نامرتبی دندان ها
باور کنید یا نه، دندان های نامرتب می توانند به مرور زمان باعث تحلیل رفتن استخوان شوند. وقتی دندان ها بیش از حد رشد می کنند یا کاملاً از جای خود خارج می شوند، اگر دندان ها تراز نشوند، تحریک استخوان می تواند به تدریج کاهش یابد. روش های مختلفی برای صاف کردن دندان ها وجود دارند و انجام این کار مزایای زیادی دارد. با این حال، ممکن است پیوند استخوان همچنان مورد نیاز باشد تا اطمینان حاصل شود که پس از تراز شدن مجدد دندان ها، پشتیبانی کافی برای آنها وجود دارد.
استخوان از ایمپلنت های دندانی پشتیبانی می کند

استخوان از ایمپلنت های دندانی پشتیبانی می کند
دلیل اصلی نیاز بیماران به پیوند استخوان، فراهم کردن بهترین پشتیبانی برای ایمپلنتهای دندانی است. تمام دلایلی که در بالا ذکر شدند، در نهایت می توانند منجر به نیاز به ایمپلنت شوند. با این حال، مگر اینکه استخوان پشتیبان به اندازه کافی قوی باشد، ممکن است حتی ایمپلنت امکان پذیر نباشد. با فناوری موجود امروزه، پیوند استخوان می تواند جایگزین استخوانی شود که مدت زمان قابل توجهی از بین رفته است. پس از ترمیم ساختار پشتیبان، بیماران می توانند ایمپلنت دندان دریافت کنند و با لبخندی شادتر و سالم تر به زندگی خود ادامه دهند. پیوند استخوان از کوچک شدن یا از دست دادن شکل استخوان فک در طول زمان، که ممکن است در صورت از دست دادن دندان رخ دهد، جلوگیری می کند. این عمل به حفظ تراکم و ساختار استخوان کمک می کند و فک شما را سالم نگه می دارد. اکثر مطالعات نشان می دهند که اگر ابتدا پیوند استخوان انجام شود، ایمپلنت ها موفق تر هستند. علت این است که استخوان اضافه شده محیط بهتری برای بهبود و اتصال ایمپلنت به استخوان موجود فراهم می کند.
کاهش عوارض
وجود بافت استخوانی ناکافی ممکن است منجر به عوارضی در حین یا بعد از جراحی ایمپلنت دندان شود. دندانپزشکان با انجام پیوند استخوان در ابتدا، می توانند خطرات عوارض را کاهش دهند و کل فرآیند را برای بیماران ایمن کنند.
انواع منابع استخوان برای پیوند استخوان فک
دندانپزشکان و جراحان لثه و فک می توانند استخوان مورد نیاز برای انجام پیوند استخوان فک یا تقویت این استخوان را از چهار منبع اصلی تامین کنند. در واقع در این مورد خود بیمار هیچ گونه تأثیری ندارد و شرایط استخوان فک او تعیین می کند که کدام یک از این روش ها به کار گرفته شود.
استخوان اتوگرافت (Autograft Bone)
در بسیاری از موارد استخوان مورد نیاز برای تقویت استخوان فک از قسمت های مختلف بدن گرفته می شود و با روش های مختلف پیوند می خورد. در این شیوه با توجه به اینکه استخوان مورد نظر مستقیماً از بدن خود بیمار وارد می شود بسیار مؤثر و بی خطر است در نهایت مواد استخوانی به راحتی با استخوان فک ترکیب می شوند و تقریباً هیچ گونه عوارضی بر جای نمی گذارند.
دندانپزشکان می توانند این استخوان را از لگن یا فک یا حتی از استخوان موجود در زانوی بیمار خارج کنند. در گام بعدی تغییراتی روی استخوان بدست آمده ایجاد می کنند تا امکان چسباندن آن به ناحیه فک و پیوند استخوان فک را فراهم کنند. این یکی از گزینه های گران قیمت محسوب می شود و به دو عمل جراحی جداگانه نیاز دارد.
استخوان آلوگرافت (Allograft Bone)
گزینه دیگر برای بیماران این است که مواد پیوند زده شده به صورت استخراجی و برگرفته از استخوان انسان باشند. در واقع این روش غالباً برای تقویت استخوان ها مورد استفاده قرار می گیرد و امکان فراهم آوردن از بانک بافت در کشورهای مختلف دنیا وجود دارد. معمولاً این نوع بافت استخوانی برای نگهداری صحیح به صورت منجمد شده و استریل شده نگهداری می شود و به همین دلیل یکی از گزینه های بسیار ایمن و مقرون به صرفه برای پیوند استخوان فک محسوب می شود.
استخوان زانو گرافت (Xenograft Bone)
استخوان بدست آمده از حیواناتی مانند گاو به عنوان یکی از پرکاربردترین نوع مواد تقویت کننده استخوان فک برای اهداف کاشت ایمپلنت دندان در نظر گرفته می شود. مهم ترین مزیت استفاده از این شیوه برای پیوند استخوان فک این است که استخوان به شکل شگفت انگیزی با استخوان انسان ادغام می شوند و احتمال بروز عوارض جانبی در آنها بسیار کم است.
استخوان بدست آمده از گاو مانند استخوان فرآوری شده از انسان به صورت منجمد و استریل است و به همین دلیل کاشت آن بسیار راحت است. نکته ای که می تواند اطمینان شما را بالا ببرد این است که استخوان بدست آمده از حیوانات همیشه با دقت بالایی استریل شده است و در بالاترین سطح ایمنی قرار دارد.
پیوند آلوپلاستیک (Alloplastic Bone)
گزینه دیگر چیزی است که بین دندانپزشکان به عنوان مواد پیوند دهنده و استخوان ساز مصنوعی شناخته می شوند. در این شیوه از یک نوع مواد جایگزین استخوان معدنی استفاده می شود که به شکل قابل اعتمادی با استخوان طبیعی انسان جوش می خورد و آن را تقویت می کند.
این چهار نوع ماده اولیه با استفاده از روش پیوند استخوان فک به استخوان انسان اضافه می شوند تا آن را برای کاشت ایمپلنت دندان تقویت کنند. به طور کلی مؤثر ترین نوع ماده پیوندی همان استخوان بیمار است و بعد از آن دندانپزشکان ترجیح می دهند که از استخوان انسان به صورت منجمد استفاده کنند.
اگر امکان استفاده از دو روش فوق وجود نداشته باشد دندانپزشکان از استخوان حیوانی فراوری شده کمک می گیرند و در غیر این صورت می توانند مواد استخوان ساز مصنوعی را به کار ببرند. شما هم قبل از انجام خدمات دندانپزشکی می توانید با متخصص و جراح فک خود صحبت کنید تا بدانید که کدام نوع مواد برای شما به کار گرفته می شود و کدام یک از آنها بهترین گزینه ممکن است.
اعطای اجازه (رضایت)
قبل از درمان، ما در مورد هرگونه پیوند یا غشاء مصنوعی، محل تهیه و جنس آن با شما صحبت می کنیم. می توانید در مورد انتخاب ماده با ما صحبت کنید. ما می خواهیم شما را در تصمیم گیری های مربوط به مراقبت و درمان خود مشارکت دهیم. اگر تصمیم به انجام این عمل یا درمان دارید، از شما می خواهیم فرم رضایت نامه را امضا کنید. این فرم نشان می دهد که شما موارد مربوط به این عمل را درک کرده اید و با انجام این درمان موافق هستید.
انواع پیوند استخوان

انواع پیوند استخوان
دو نوع پیوند استخوان وجود دارد:
پیوند استخوان جزئی
پیوند استخوان جزئی از مقدار کمی از استخوان قسمت دیگری از فک شما استفاده می کند. این عمل در ناحیه ای که ایمپلنت دندان دارید، انجام می شود. معمولاً استخوان از پشت فک یا چانه شما گرفته می شود. شما بی حسی موضعی دریافت می کنید. این دارو دهان شما را بی حس می کند و هیچ دردی احساس نمی کنید، اما در طول عمل بیدار می مانید. پس از پایان درمان می توانید به خانه بروید. همچنین ممکن است آرام بخش دریافت کنید. در این روش به شما دارویی می دهیم تا به شما در آرامش و کنار آمدن با درمان دندانپزشکی تان کمک کند. پیوند استخوان جزئی معمولاً ۱ ساعت تا ۱ ساعت و ۳۰ دقیقه طول می کشد. ما لثه را از استخوانی که به درمان نیاز دارد، جدا می کنیم. سپس می توانیم میزان استخوان مورد نیاز را ببینیم. مقدار کمی استخوان از قسمت دیگری از فک شما برمی داریم. برای انجام این کار، لثه را در این ناحیه بلند می کنیم و با دقت مقداری از استخوان را بر می داریم و آن را در محلی که قرار است ایمپلنت کاشته شود قرار می دهیم. استخوان پیوند زده را با پین یا پیچ های کوچک در موقعیت جدید خود ثابت می کنیم. این پین ها هنگام جراحی ایمپلنت دندان برداشته می شوند. لثه را مجدداً قرار داده و آن را با دقت در جای خود بخیه می زنیم. حدود یک هفته بعد بخیه ها را می کشیم.
پس از پیوند استخوان جزئی
اگر پیوند استخوان جزئی تحت بی حسی موضعی انجام داده اید، می توانید پس از اتمام عمل و احساس بهبودی کافی، بیمارستان را ترک کنید. ما یک دوره آنتی بیوتیک به شما می دهیم تا خطر عفونت را کاهش دهیم. شما باید بتوانید پس از درمان مثل قبل غذا بخورید. دندانپزشک شما ممکن است رژیم غذایی شامل غذاهای نرم را به شما توصیه کند. تا 24 ساعت پس از درمان، الکل مصرف نکنید. می توانید 1 یا 2 روز پس از درمان به محل کار خود برگردید. اگر دندان مصنوعی دارید، ممکن است نتوانید تا 2 هفته پس از درمان از آنها استفاده کنید. دندانپزشک یا پرستار شما در این مورد به شما اطلاع می دهد. توصیه می کنیم قبل از درمان و در دراز مدت، سیگار کشیدن را ترک کنید. برای کمک به ترک سیگار، لطفاً با پزشک خود صحبت کنید.
مراقبت از دهان
به مدت 1 هفته پس از درمان، نواحی که پیوند استخوان انجام داده ایم یا قرار داده ایم را مسواک نزنید. از دهانشویه حاوی کلرهگزیدین استفاده کنید. این کار ناحیه را از پلاک (یک لایه چسبناک از باکتری که روی دندان ها تجمع می یابد) پاک می کند. می توانید این دهانشویه را از داروخانه یا فروشگاه خریداری کنید. دهانشویه را به مدت 1 دقیقه در دهان خود نگهدارید. این کار را 2 بار در روز انجام دهید. لطفاً دستورالعمل های روی برچسب را دنبال کنید.
عوارض جانبی پیوند استخوان جزئی
درد
میزان درد برای هر فرد متفاوت است. بیشتر افراد به مسکن هایی مانند پاراستامول یا ایبوپروفن نیاز دارند. می توانید آنها را از داروخانه یا فروشگاه خریداری کنید. بهتر است قبل از از بین رفتن اثر بی حسی موضعی و برای روز اول پس از درمان، مسکن مصرف کنید. تیم دندانپزشکی شما می تواند اطلاعات بیشتری در مورد مسکن ها و زمان مصرف آنها به شما ارائه دهد. پیروی از دستورالعمل های آنها و توصیه های موجود در بروشور اطلاعاتی که همراه مسکن ها ارائه می شود، مهم است.
تورم و کبودی
بعضی از افراد پس از پیوند استخوان، روی صورت خود تورم و کبودی دارند. برای کمک به این امر، هر ساعت به مدت 10 دقیقه از کیسه یخ روی ناحیه استفاده کنید. این کار را برای 6 ساعت اول انجام دهید. می توانید با پیچیدن یک کیسه کوچک سبزیجات یخ زده در یک پارچه تمیز، یک کیسه یخ درست کنید. یخ را مستقیماً روی پوست خود قرار ندهید. اگر خونریزی داشتید، یک دستمال تمیز را لوله کنید و آن را روی زخم فشار دهید. با محکم بستن دندان های خود، آن را در همانجا نگه دارید. این کار را حداقل 30 دقیقه انجام دهید. اگر خونریزی متوقف نشد، به نزدیکترین اورژانس مراجعه کنید.
ملاقات های بعدی
برای بررسی اینکه پیوند استخوان مؤثر بوده است، به یک قرار ملاقات بعدی نیاز دارید. ما همچنین می توانیم مرحله بعدی درمان ایمپلنت دندان شما را برنامه ریزی کنیم. ما این قرار ملاقات را قبل از ترک بیمارستان برای شما تعیین می کنیم یا زمان آن را برای شما ارسال می کنیم.
پیوند استخوان بزرگ
اگر برای بازسازی فک خود برای کاشت ایمپلنت دندانی به مقدار بیشتری استخوان نیاز دارید، ممکن است پیوند استخوان بزرگ انجام دهید. در این روش استخوان از جای دیگری از بدن شما (معمولاً لگن) گرفته می شود و در ناحیه ای قرار داده می شود که قرار است ایمپلنت دندان کار گذاشته شود. شما تحت بیهوشی عمومی قرار می گیرید. این دارو باعث می شود در طول عمل بخوابید، بنابراین هیچ دردی احساس نمی کنید. شما باید مدت کوتاهی پس از جراحی در بیمارستان بمانید. اگر فقط به مقدار کمتری استخوان برای ایمپلنت دندان نیاز دارید، ممکن است پیوند استخوان جزئی داشته باشید. این زمانی است که استخوان از قسمت دیگری از فک شما گرفته می شود.
ما پیوند استخوان اصلی را در حالی که شما تحت بیهوشی عمومی خواب هستید انجام می دهیم. شما در طول جراحی چیزی احساس نمی کنید. ما اطلاعات بیشتری در مورد بیهوشی عمومی به شما می دهیم. اگر به پیوند استخوان اصلی نیاز دارید، پس از جراحی مدت کوتاهی در بیمارستان بستری خواهید بود. ما لثه را از استخوانی که به درمان نیاز دارد، جدا می کنیم. سپس می توانیم ببینیم که چه مقدار استخوان نیاز است. ما استخوان مورد نیاز را با دقت استخوان و به صورت بلوکی از لگن شما می گیریم. ما زخم روی لگن شما را با بخیه می بندیم. ما معمولاً یک لوله پلاستیکی کوچک (کانول) را در زخم لگن قرار می دهیم. سپس می توانیم به شما داروی مسکن بدهیم. در طول جراحی، ممکن است یک لوله تخلیه کوچک نیز در زخم قرار دهیم. این لوله هرگونه خونی را که در زخم لگن شما جمع می شود، تخلیه می کند. ما استخوانی را که از لگن شما برداشته شده است، در موقعیت جدیدش در فک شما ثابت می کنیم. این کار با استفاده از پیچ انجام می شود. وقتی پیوند استخوان در جای خود قرار گرفت، لثه را جایگزین کرده و با دقت آن را به جای خود بخیه می زنیم. 7 تا 10 روز بعد بخیه ها را می کشیم.
عوارض جانبی پیوند استخوان بزرگ
درد
میزان درد در دهان و لگن شما برای هر کسی متفاوت است. اگر از لگن شما استخوان گرفته شده باشد، ممکن است ۲ تا ۴ هفته پس از جراحی احساس ناراحتی کنید. این درد ممکن است هنگام راه رفتن بدتر شود. بیشتر افراد به مسکن نیاز دارند. ما این مسکن ها را در طول مدت بستری در بیمارستان و هنگام ترخیص از بیمارستان به شما می دهیم. تیم دندانپزشکی شما می تواند اطلاعات بیشتری در مورد مسکن ها و زمان مصرف آنها به شما ارائه دهد. پیروی از دستورالعمل های آنها و توصیه های موجود در بروشور اطلاعاتی که همراه مسکن های شما ارائه می شود، مهم است.
بی حسی
ممکن است به دلیل بی حسی، در لمس لب ها، گونه ها یا زبان خود مشکل داشته باشید. بی حسی لب در سمت جراحی به عنوان “پارستزی” شناخته می شود. این احساس موقتی است و ظرف ۲ تا ۴ ساعت از بین می رود. می تواند مدت زمان متغیری طول بکشد. لطفاً مراقب باشید که لب ها، گونه ها یا لثه های خود را گاز نگیرید. اگر بیش از ۳ هفته طول کشید، لطفاً به مطب اطلاع دهید.
تورم و کبودی
برخی از افراد پس از پیوند استخوان، تورم و کبودی روی صورت خود دارند. برای کمک به این امر، هر ساعت به مدت ۱۰ دقیقه از کیسه های یخ روی محل مورد نظر استفاده کنید. این کار را در ۶ ساعت اول انجام دهید. می توانید با پیچیدن یک کیسه کوچک سبزیجات منجمد در یک پارچه تمیز، یک کیسه یخ درست کنید. یخ را مستقیماً روی پوست خود قرار ندهید.
پس از ۳ روز اول، می توانید برای تسکین تورم، کبودی و سفتی فک، از پد گرمکن یا گرمای مرطوب استفاده کنید. ۴ بار در روز و به مدت ۳۰ دقیقه از گرما استفاده کنید.
خونریزی
برای جلوگیری از خونریزی، پد گاز پانسمان را محکم گاز بگیرید. قبل از ترک مطب، گاز پانسمان را عوض خواهیم کرد. ممکن است لازم باشد یک بار دیگر در خانه پدهای گاز پانسمان را عوض کنید. روز جراحی دهان خود را نشویید یا تف نکنید، زیرا این کار ممکن است خونریزی را طولانی تر کند.
اگر خونریزی داشتید:
- یک دستمال تمیز را لوله کنید و روی زخم فشار دهید.
- با بستن محکم دندان هایتان، آن را در محل نگه دارید.
- این کار را حداقل ۳۰ دقیقه انجام دهید.
در صورت وجود موارد زیر در ساعات غیر اداری، با بخش ایمپلنت دندان تماس بگیرید یا به نزدیکترین اورژانس مراجعه کنید:
- خونریزی متوقف نمی شود.
- درد معده دارید.
- تورم در مفصل ران دارید.
- تب دارید.
- احساس ناخوشی می کنید.
- افزایش درد یا تورم پس از 5 روز.
- مزه یا بوی بد در دهان.
- دمای بالای 38 درجه سانتیگراد.
آمادگی برای پیوند استخوان

آمادگی برای پیوند استخوان
مطمئن شوید که هرگونه مشکل سلامتی و هر دارویی را که مصرف می کنید به ما اطلاع می دهید. برخی از شرایط پزشکی، توصیه ها و اطلاعاتی را که باید به شما ارائه دهیم تغییر می دهند. اگر سیگار می کشید، اکیداً توصیه می کنیم که سعی کنید آن را ترک کنید و در دراز مدت غیر سیگاری باقی بمانید. این کار خطرات کاشت ایمپلنت دندان را کاهش می دهد. سیگار کشیدن همچنین می تواند بهبود زخم را به تأخیر بیندازد زیرا میزان اکسیژنی را که به بافت های بدن شما می رسد، کاهش می دهد. برای کمک به ترک سیگار، لطفاً با پرستار خود صحبت کنید.
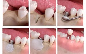
پیوند استخوان فک چگونه انجام می شود؟
در مورد اغلب بیماران اولین مرحله شامل آماده سازی استخوان فک است. به طور معمول فک بیماران با استفاده از پرتونگاری اشعه ایکس مورد بازرسی قرار می گیرد و توسط دندانپزشک وضعیت فک آنها سنجیده می شود. در برخی موارد هم استفاده از روش سیتی اسکن برای مشخص کردن جزئیات به صورت سه بعدی نیاز است.
در مرحله بعدی در مورد مواد و روش پیوند استخوان فک که به بهترین شکل با بیمار همخوانی داشته باشد تصمیم گیری می شود. در این مرحله فرایندهایی شامل پیوند حفره، پیوند سینوس یا لیفت سینوس و همچنین روش پیوند استخوان به صورت بلوکی انجام می شود. در این موارد هم ممکن است دندانپزشک بیش از یک روش را برای پیوند استخوان فک در نظر بگیرد که بیشتر به وضعیت بیمار بستگی دارد.
پس از تصمیم گیری در مورد منبع پیوند استخوان، مرحله بعدی برنامه ریزی و آماده سازی برای انجام جراحی است. با شروع عمل جراحی، دندانپزشک قسمت مورد نظر را با مواد پیوندی پر می کند و پس از انجام این کار محل جراحی را بخیه می زند. بعد از گذشت مدت زمانی، استخوان فک شروع به بهبودی می کند و بازسازی دوباره شروع می شود.
نکته عجیب و شگفت آور این است که با گذشت زمان بدن مواد استخوانی را تبدیل به استخوان طبیعی می کند. در حقیقت پیوند استخوان فک شرایط را برای پشتیبانی از ایمپلنت دندان فراهم کرده و دندانپزشک می تواند دندان جدید را در داخل حفره نصب کند.
مراقبت های بعد از پیوند استخوان
هنگامی که پس از پیوند استخوان بزرگ از بیمارستان مرخص می شوید، پیروی از دستورالعمل های ما برای کمک به بهبود زخم هایتان مهم است. شما باید بتوانید پس از درمان مثب قبل غذا بخورید. دندانپزشک شما ممکن است رژیم غذایی حاوی غذاهای نرم را توصیه کند. تا 24 ساعت پس از درمان از مصرف الکل خودداری کنید. اگر دندان مصنوعی دارید، ممکن است نتوانید تا 2 هفته پس از درمان از آنها استفاده کنید. دندانپزشک یا پرستار شما در این مورد به شما اطلاع می دهد. توصیه می کنیم قبل از درمان و در دراز مدت، سیگار کشیدن را ترک کنید. برای کمک به ترک سیگار، لطفاً با پزشک خود صحبت کنید.
بازگشت به محل کار
شما می توانید حدود 1 هفته پس از درمان به محل کار خود بازگردید. این به میزان درد در لگن شما و میزان راحتی شما در راه رفتن بستگی دارد.
فعال ماندن
نباید تأثیر زیادی بر نحوه حرکت شما داشته باشد. سعی کنید در اسرع وقت پس از جراحی حرکت کنید. ما به شما مسکن می دهیم تا این کار را آسان تر کنیم. شما باید به مدت 3 تا 4 هفته پس از جراحی از هرگونه فعالیت، ورزش یا تمرین پرانرژی خودداری کنید.
مراقبت از زخم لگن
مهم است که از زخم لگن خود مراقبت کنید. ما نحوه انجام این کار را توضیح می دهیم و پانسمان هایی را برای مراقبت از زخم در خانه به شما می دهیم. ما بخیه های شما را می کشیم و زخم شما را حدود 10 روز پس از عمل بررسی می کنیم.
مراقبت از دهان
به مدت 1 هفته پس از درمان، ناحیه ای را که پیوند استخوان انجام داده اید، مسواک نزنید. از دهانشویه ای استفاده کنید که حاوی کلرهگزیدین باشد. این کار باعث می شود ناحیه مورد نظر از پلاک (لایه چسبناکی از باکتری که روی دندان ها تجمع می یابد) پاک شود. می توانید این دهانشویه را از داروخانه یا فروشگاه خریداری کنید. دهانشویه را به مدت ۱ دقیقه در دهان خود نگه دارید. این کار را ۲ بار در روز انجام دهید. لطفاً دستورالعمل های روی برچسب را دنبال کنید.
اقدامات احتیاطی ویژه
حداقل به مدت ۱ هفته پس از جراحی از انجام فعالیت هایی که باعث فشار غیر ضروری به سینوس می شوند، خودداری کنید. از موارد زیر اجتناب کنید:
- تا ۳ روز آینده فعالیت های شدید انجام ندهید.
- فین کردن. می توانید بینی خود را به آرامی با دستمال پاک کنید. در صورت لزوم از داروهای ضد احتقان بدون نسخه استفاده کنید.
- مکیدن با نی.
- سیگار کشیدن.
- شستشوی شدید دهان.
- عطسه کردن. اگر مجبور به عطسه کردن هستید، با دهان باز عطسه کنید.
- سفر هوایی (حداقل ۲ هفته پس از جراحی)
- نواختن سازهای بادی
- اگر حالت تهوع دارید، می توانید مصرف آنتی بیوتیک را موقتاً تا زمان فروکش شدن حالت تهوع متوقف کنید، با این حال، همیشه باید آنتی بیوتیک ها را دوباره شروع کرده و طبق دستور مصرف کنید.
- اگر هر دارویی باعث کهیر یا خارش می شود، فوراً مصرف آنها را قطع کرده و با کلینیک تماس بگیرید.
رژیم غذایی
سعی کنید پس از ۳ روز اول، رژیم غذایی عادی خود را از سر بگیرید. در ابتدا ممکن است با یک رژیم غذایی نرم تر احساس راحتی بیشتری داشته باشید. غذاهای پیشنهادی عبارتند از سوپ، رشته فرنگی، تخم مرغ همزده، ماکارونی، پودینگ، ماست، بستنی، آبمیوه، میلک شیک، پنکیک و هر چیز نرمی که می توانید تحمل کنید. برای هیدراته ماندن، مایعات زیادی بنوشید. از غذاهای سفت و ترد مانند چیپس که ممکن است محل جراحی را تحریک کنند، حداقل به مدت ۵ روز خودداری کنید. حداقل ۲۴ ساعت پس از بیهوشی یا تا زمانی که داروهای مسکن مخدر و آنتی بیوتیک مصرف می کنید، نباید نوشیدنی های الکلی مصرف کنید.
مراقبت از زخم
در صورت تجویز، از دهانشویه کلروهگزیدین 12/0% ۲ تا ۳ بار در روز پس از مسواک زدن استفاده کنید. به مدت ۶۰ ثانیه در دهان بچرخانید و سپس آن را بیرون بریزید. همچنین می توانید دهان خود را چندین بار در روز با محلول آب نمک (نصف قاشق چایخوری نمک در ۱ فنجان آب) بشویید.
بخیه ها
بخیه های شما ۱ تا ۳ هفته پس از جراحی خود به خود حل می شوند. ممکن است متوجه شوید که پس از کاهش تورم بافت لثه، شل می شوند. این کاملاً طبیعی است.
استفاده از پروتز
ممکن است بلافاصله پس از جراحی از دندان مصنوعی پارسیل، فلیپر یا دست دندان کامل استفاده شود یا نشود. جراح شما در این مورد به شما توصیه خواهد کرد.
مسواک زدن و شستشو
روز جراحی می توانید مسواک بزنید، اما سعی کنید حداقل به مدت ۵ روز از محل جراحی دوری کنید. از شستشو یا تف کردن در روز جراحی خودداری کنید.
تراشه های استخوان
گاهی اوقات ممکن است تراشه های کوچک استخوان در محل جراحی ظاهر شوند. این اتفاق می تواند از چند روز تا چند هفته پس از جراحی رخ دهد. معمولاً آنها در نهایت خود به خود می افتند. اگر باعث ناراحتی قابل توجهی برای شما می شوند، می توانید برای تعیین وقت با کلینیک ما تماس بگیرید.
ملاقات های بعدی
حدود یک هفته پس از جراحی، شما را ویزیت می کنیم تا زخم های روی مفصل ران و دهان شما را بررسی کنیم. بعد از حدود ۱۰ روز، بخیه های مفصل ران شما را می کشیم. سپس به یک جلسه پیگیری دیگر نیاز دارید تا بررسی کنیم که پیوند استخوان مؤثر بوده است یا خیر. ما همچنین می توانیم مرحله بعدی درمان ایمپلنت دندان شما را برنامه ریزی کنیم. ما این قرار ملاقات ها را قبل از ترخیص از بیمارستان برای شما تعیین می کنیم یا زمان آنها را برایتان ارسال می کنیم.
دوره ریکاوری بعد از پیوند استخوان فک چقدر طول می کشد؟

دوره ریکاوری بعد از پیوند استخوان فک چقدر طول می کشد؟
بهبود اولیه تقریباً مانند کشیدن دندان است و یک دوره دو یا سه روزه دارد. بهبودی کامل از جراحی پیوند استخوان فک قبل از مرحله نصب ایمپلنت دندان ممکن است متغیر باشد و زمان بهبودی در هر بیمار متفاوت است. البته تجربه ما نشان داده که بیماران بعد از ۴ تا ۶ ماه می توانند روند جراحی کاشت ایمپلنت دندان را شروع کنند. در ضمن باید به این نکته اشاره کنیم که دوره ریکاوری بعد از جراحی به رعایت تمام دستورالعمل های بعد از عمل بستگی دارد و عدم مراقبت صحیح از عمل جراحی می تواند منجر به عفونت شود.
خطرات پیوند استخوان
مانند هر روش پزشکی، پیوند استخوان نیز خطراتی دارد. ممکن است در ناحیه ای که پیوند استخوان انجام می شود، درد، تورم و کبودی داشته باشید. اگر استخوان از لگن شما گرفته شود (پیوند استخوان اصلی)، ممکن است راه رفتن به مدت 2 تا 4 هفته برایتان ناراحت کننده باشد. ممکن است به مدت 1 تا 2 هفته تورم فک داشته باشید. پیوند استخوان می تواند عفونی شود. تیم دندانپزشکی شما با دقت کار می کند و پس از درمان به شما آنتی بیوتیک می دهد تا از این امر جلوگیری شود. گاهی اوقات، استخوان کافی برای انجام جراحی ایمپلنت دندان پس از پیوند استخوان وجود ندارد. در این صورت، ممکن است به جراحی پیوند استخوان بیشتری نیاز داشته باشید. خطر شکست برای برخی افراد، بویژه افرادی که سیگار می کشند، بیشتر است. تیم دندانپزشکی شما خطرات را توضیح می دهد و به شما می گوید که آیا احتمال شکست پیوند استخوان در شما بیشتر است یا خیر. همچنین اگر ایمپلنت های دندانی را به جای استخوان طبیعی، در استخوان پیوندی قرار دهیم، خطر شکست بیشتر می شود.
علائم شکست در پیوند استخوان فک چیست؟
یکی از اولین علائم عدم موفقیت پیوند استخوان، مشخص شدن علائم عفونت و التهاب است. این علائم خود را به صورت درد و ورم غیر معمول در منطقه جراحی نشان می دهند و شما باید حتماً این موضوع را به دندانپزشک خود اطلاع دهید. دندانپزشک برای اینکه مشخص کند که آیا پیوند صورت گرفته به حدی آسیب دیده که مناسب کاشت ایمپلنت دندان نباشد، باید از روش پرتونگاری اشعه ایکس استفاده کند. معمولاً این شرایط در بیمارانی مانند افراد دیابتی و افراد سیگاری بیشتر دیده می شود و احتمال شکست در پیوند استخوان فک وجود دارد.
آیا پیوند استخوان فک درد دارد؟

آیا پیوند استخوان فک درد دارد؟
پیوند استخوان فک در حالی که دندان پزشک از مواد بی حسی موضعی استفاده کرده انجام می شود و به عنوان یک نوع جراحی سرپایی هیچگونه دردی ندارد. درد ناشی از این عمل جراحی معمولاً طی دوران نقاهت و بعد از عمل جراحی اتفاق می افتد، اما مراقبت مناسب می تواند بخش مهمی از این درد را از بین ببرد و دوره ریکاوری فرد را کوتاه کند.
پیوند استخوان فک چقدر دوام می آورد؟
با پشتیبانی ایمپلنت ها، پیوند استخوان دندان می تواند تا آخر عمر دوام داشته باشد. بهداشت خوب دهان و دندان به قوی و سالم نگه داشتن پیوند شما در دراز مدت کمک می کند. همچنین دندانپزشک سلامت ایمپلنت ها و پیوند استخوان شما را به صورت دوره ای در طول معاینات و تمیز کردن های معمول بررسی می کند.
چه مدت طول می کشد تا پیوند استخوان فک بهبود یابد؟
این به پیچیدگی درمان شما بستگی دارد. با این حال، به طور کلی، بهبودی کامل می تواند تا شش ماه طول بکشد. ما دستورالعمل های دقیقی پس از عمل به شما ارائه خواهیم داد تا به تسریع بهبودی شما کمک کنند. اگر پس از جراحی تورم یا درد در اطراف ناحیه پیوند استخوان تجربه کردید، توصیه می کنیم برای مدیریت این علائم از داروهای بدون نسخه استفاده کنید. برای چند روز تا یک هفته پس از عمل، رژیم غذایی نرم داشته باشید، از فعالیت های شدید خودداری کنید و تمام قرارهای پیگیری را انجام دهید تا بتوانیم بهبودی شما را کنترل کنیم.
هزینه درمان پیوند استخوان چقدر است؟
هزینه پیوند استخوان به نوع روش مورد نیاز بستگی دارد که تنها پس از مشاوره کامل و عکسبرداری با اشعه ایکس قابل تعیین است. دندانپزشک شما باید اطمینان حاصل کند که برای بهترین نتیجه ممکن، طرح درمان مناسبی را برای نیازهای خاص شما ارائه می دهد. ما برنامه های مالی انعطاف پذیر با بهره صفر درصد را برای کمک به مدیریت هزینه ها ارائه می دهیم.
تفاوت ها و شباهت های سینوس لیفت و پیوند استخوان فک برای کاشت ایمپلنت دندان
سینوس لیفت و پیوند استخوان دو اصطلاحی هستند که اغلب در بحث های مربوط به ایمپلنت های دندانی مطرح می شوند. هر دو روش نقش مهمی در تضمین موفقیت کاشت ایمپلنت دارند، اما اهداف متفاوتی را دنبال می کنند.
سینوس لیفت که با نام تقویت سینوس نیز شناخته می شود، یک عمل جراحی است که هدف آن اضافه کردن استخوان به فک بالا در ناحیه دندان های مولر و پرمولر است. این عمل زمانی ضروری است که استخوان طبیعی در فک بالا برای پشتیبانی از کاشت ایمپلنت های دندانی کافی نباشد. سینوس های فک بالا که در دو طرف بینی قرار دارند، به حریم فک بالا تجاوز می کنند و فضای محدودی برای کاشت ایمپلنت باقی می گذارند. در طول سینوس لیفت، دندانپزشک غشاء سینوس را بلند می کند و مواد پیوند استخوان را در فضای حاصل بین فک و کف سینوس قرار می دهد. این استخوان اضافی، پایه پایداری برای ایمپلنت های دندانی ایجاد می کند. سینوس لیفت معمولاً زمانی انجام می شود که به دلیل کشیدن دندان یا بیماری پریودنتال، استخوان از دست رفته باشد.
تفاوت ها
هدف
سینوس لیفت به طور خاص کمبود استخوان در فک بالا، بویژه در نواحی دندان های مولر بزرگ و مولر کوچک که تحت تأثیر سینوس های فک بالا قرار دارند، را برطرف می کند. از سوی دیگر، پیوند استخوان می تواند در نواحی مختلف فک برای افزایش حجم استخوان جهت قرار دادن ایمپلنت انجام شود.
مکان
عمل سینوس لیفت محدود به فک بالا است و به طور خاص سینوس های فک بالا را هدف قرار می دهد. پیوند استخوان می تواند بسته به نیاز بیمار، در هر دو فک بالا و پایین انجام شود.
روش انجام
سینوس لیفت شامل بلند کردن غشاء سینوس و قرار دادن مواد پیوند استخوان در فضای حاصل است. پیوند استخوان شامل قرار دادن مواد پیوند به طور مستقیم روی استخوان موجود در ناحیه مورد نظر است.
شباهت ها
پشتیبانی ایمپلنت
هدف هر دو عمل سینوس لیفت و پیوند استخوان، فراهم کردن حجم استخوان کافی برای پشتیبانی از قرار دادن موفق ایمپلنت های دندانی است.
زمان بهبودی
زمان بهبودی برای هر دو عمل برای موفقیت قرار دادن ایمپلنت بسیار مهم است. معمولاً چندین ماه طول می کشد تا استخوان پیوند شده با استخوان فک بالا ادغام شود و به پایه محکمی برای ایمپلنت تبدیل شود.
مواد پیوندی
پیوند استخوان ممکن است بسته به شرایط بیمار از مواد مشابهی برای پیوند، مانند اتوگرافت، آلوگرافت یا آلوپلاست، استفاده کند.
روش های ارزشمند
در ایمپلنتولوژی دندان، سینوس لیفت و پیوند استخوان روش های ارزشمندی هستند که بیماران را قادر می سازند از مزایای ایمپلنت های پایدار و با دوام بهره مند شوند. اگرچه این روش ها اهداف متفاوتی دارند و در نواحی مختلف فک انجام می شوند، اما هدف مشترک آنها افزایش حجم استخوان و ایجاد محیطی حمایتی برای ایمپلنت های دندانی است.





سلام پیوند استخوان برای کسی که دندان مصنوعی می خواهد بزارد وفکش در اثر عفونت بیماری تحلیل لثه از بین رفته هم انجام میشود؟
سلام
بله انجام میشه
برای اطلاعات بیشتر از طریق شماره های تماس با بخش پذیرش مطب در ارتباط باشید